
Contributor: Dr. Kevin Rieck
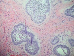
A 58-year-old Caucasian female presents with a lesion of the right posterior mandible. The patient reports a recent history of jaw pain and swelling. It is painful when she bites down on #31.
Which of the following should be included on the differential diagnosis?
What is the most appropriate next step for the management of this lesion?
Based on the histopathology what is the correct diagnosis?
How is this lesion best managed?
Recent Comments