
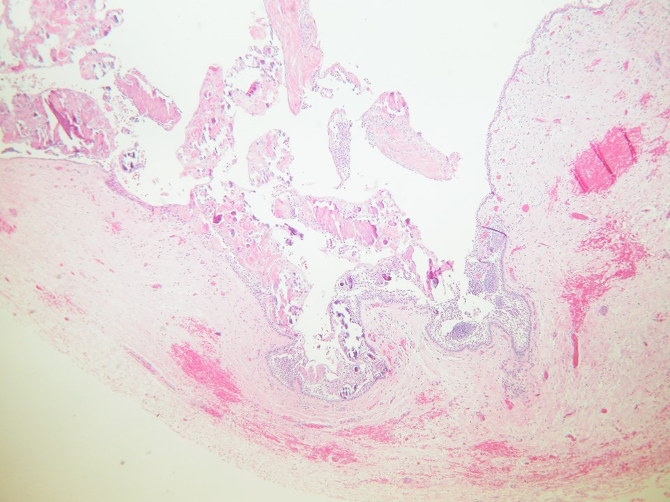
Contributor: Dr. Valmont Desa
A 13-year-old Caucasian male presents with a lesion of the right anterior maxilla in the area of #7-8. It is a unilocular, primarily radiolucent lesion with scattered radiopacities. Displacement of the lateral incisor is observed.
Which of the following should be included on the differential diagnosis?
What is the most appropriate next step for the management of this lesion?
Based on the histopathology what is the correct diagnosis?
This lesion is best classified as?
Recent Comments